Ангиоматоз (синдром Штурге-Вебера) и его особенности

Факоматозы – это группа болезней, для которых характерно сочетание поражения кожи и ряда внутренних органов. Данные нарушения возникают из-за врожденного дефекта строения мелких кровеносных сосудов, что приводит к их расширению и нарушению работы систем организма. Синдром Штурге-Вебера является одним из факоматозов и сопровождается поражением кожи лица и головного мозга.

Из-за плохой осведомленности о нем докторов и большого количества вариантов проявлений патологии своевременно выявить заболевание из данной группы удается редко. Из этой статьи вы узнаете наиболее характерные симптомы и формы течения болезни, а также принципы ее диагностики и лечения.

Определение и виды ангиоматозов

Ангиоматоз – что это такое? Так называют группу редких заболеваний, характеризующихся увеличением количества патологически измененных мелких сосудов. В местах их избыточного роста нарушаются функции органов и тканей. Локализация ангиоматоза определяет вариант клинической картины, которая сформируется у пациента.

image
Патологически измененные сосуды при ангиоматозе

В настоящее время выделяют следующие основные виды ангиоматозов:

Название ангиоматоза Передается по наследству? Органы-мишени и пораженные системы Типичные признаки
Цереброретинальный ангиоматоз Гиппеля Линдау Да, но вероятность наследования низкая. Все органы, но чаще всего:
  1. Сетчатка глаза.
  2. Мозжечок.
  3. Почки.
  1. Поражение глазного аппарата со снижением зрения и болями.
  2. Ухудшение координации движений, неустойчивость в положении «стоя».
  3. Выраженная головная боль.
  4. Обнаруженные опухоли головного мозга и внутренних органов (гемангиобластомы и менингиомы). Часто их рост сопровождается метастазами в другие внутренние органы: печень, яичники, матку и т.д.
Болезнь Луи-Бар (синоним – атаксия-телеангиоэктазия) Да, от мужчин и женщин с одинаковой частотой.
  1. Иммунная система.
  2. Мозжечок.
  3. Кожа (эпидермис и дерма).
  1. Частые бактериальные инфекции с тяжелым течением. Опухоли крови – лейкозы и лимфомы.
  2. Нарушение координации движений и речи.
  3. «Звездчатые» расширения мелких сосудов на слизистых и кожных покровах, повышенная сухость кожи.
Синдром Бонне-Дешома-Бланка – нейроретинальный ангиоматоз Неизвестно из-за большой редкости (150 случаев в мире).
  1. Сетчатка глаза.
  2. Головной и спинной мозг.
  3. Кожа.
  1. Снижение остроты зрения.
  2. Появление «сосудистых звездочек» на лице.
  3. Головная боль.
Ангиоматоз Рандю-Ослера Да, с одинаковой частотой от мужчин и женщин. Все органы, но чаще поражаются слизистые оболочки носа и пищеварительного тракта. Кровотечения различной локализации. Чаще всего, болезнь дебютирует с носовой кровоточивости и появления на коже «сосудистых звездочек».
Бациллярный ангиоматоз Не наследуется. Все органы. Развивается при тяжелом угнетении иммунитета.
  1. Лихорадка более 39 °С.
  2. Увеличение частоты сокращений сердца и снижение давления.
  3. Плохое самочувствие.
  4. Появление одышки – частота дыхательных движений более 20 раз/мин.

Болезнь Штурге-Вебера

Энцефалотригеминальный ангиоматоз Штурге-Вебера – частый вариант ангиоматозов, который приводит к комплексу неврологических и кожных расстройств.

Распространенность

По данным различных авторов ангиоматоз Штурге-Вебера встречается у 1 ребенка на 30-50 тыс. людей и является одним из наиболее распространенных вариантов болезни из данной группы. Патология не передается от родителей к детям, так как поврежденный генетический код находится в клетках тела, не участвующих в размножении.

Причины

Энцефалотригеминальный ангиоматоз возникает из-за повреждения нормальной структуры генетического кода. Изменения располагаются в гене «GNAQ» – это участок ДНК, отвечающий за регуляцию нормального роста клеток. При нарушении его структуры значительно повышается вероятность развития опухолевых заболеваний, в том числе синдрома Штурге-Вебера.

image
Повреждение структуры генетического кода

Точный перечень факторов, приводящих к изменению гена «GNAQ», не выяснен до настоящего момента. Значимое воздействие на ДНК плода могут оказать:

  • вирусные инфекции в период беременности;
  • токсины и профессиональные вредности, в частности тяжелые металлы их соли, продукты горения пластмасс, отходы нефтегазовой промышленности и т.д.;
  • радиация в дозах выше среднего воздействия на организм;
  • ряд пищевых добавок, в том числе соли цикламовой кислоты (подсластители вкуса), дифенил (обладает консервирующим воздействием), бензпирен и другие;
  • некоторые лекарства: химиотерапевтические фармакопрепараты для лечения туберкулеза и онкологических болезней; препараты, подавляющие иммунитет; ртуть-содержащие лекарства и т.д.

Не исключено влияние и других мутагенов на организм беременной девушки, однако возможность их воздействия на ген «GNAQ» не изучена.

Типы болезни

Из-за небольшого количества наблюдений синдрома Штурге-Вебера не разработано классификации данной болезни. Однако ряд докторов предлагает разделять патологию по вариантам клинической картины на типичную форму и виды с преобладанием отдельных синдромов/симптомов.

Варианты ангиоматоза Вебера Отличительные особенности
Классическое течение
  1. Появление на коже характерного участка гиперпигментации из-за измененных сосудов, по внешнему виду напоминающих «винное пятно».
  2. Глаукома – появление внутри глаза высокого давления, которое отрицательно воздействует на питание сетчатки и зрительный нерв.
  3. Эпизоды судорог.
Интеллектуально-мнестический вариант Помимо симптомов классической формы, у пациента отмечаются:
  1. Снижение интеллектуальных способностей, включая такие функции, как запоминание, анализ и восприятие внешних факторов.
  2. Усиление негативных черт характера: злопамятности, агрессивности, эгоцентризма, мстительности.
Паралитический вариант Помимо симптомов классической формы, у больного появляются:
  1. Слабость, ограничение движений в руке и ноге.
  2. Снижение чувствительности в вышеуказанных областях.

Симптомы

Заболевание, чаще всего, дебютирует в возрасте 1-3 лет. Первый симптом – судороги, возникающие в отдельных группах мышц, и намного реже – судорожные сокращения всего тела. Обнаружить этот признак у маленького ребенка достаточно сложно, так как обычные произвольные движения новорожденного и детей раннего возраста также имеют нецеленаправленный характер и родители принимают эпилептические припадки за обычное «баловство».image

Ухудшение зрения развивается к 2-4 годам и может быть обнаружено родителями при наличии активных жалоб у детей либо во время профилактического осмотра у офтальмолога. Определение уровня внутриглазного давления позволяет сделать вывод о наличии глаукомы и заподозрить ангиоматоз сетчатки глаза.

Интеллектуально-мнестические и эмоциональные нарушения могут проявляться в различном возрасте, но часто становятся заметны в возрасте 4-6 лет. У ребенка может отмечаться:

  • плохое формирование речи;
  • отставание в умственном развитии;
  • плохое построение логических связей;
  • агрессивное поведение с окружающими людьми;
  • немотивированная намеренная порча материальных ценностей, в том числе окружающих людей.

С возрастом патология зрения, высших нервных функций и эпилепсия не проходят – при отсутствии необходимого лечения симптомы прогрессируют и усиливаются. Особенно это касается интеллектуальных и психосоциальных способностей человека.

image
Ангиоматоз сетчатки глаза

Диагностика синдрома Штурге-Вебера

На данный момент отсутствует единый подход к диагностике, позволяющий подтвердить наличие у пациента ангиоматоза. Для постановки данного диагноза необходимо комплексное обследование, включающее:

Диагностическое исследование Характерные признаки синдрома Штурге-Вебера
Сбор жалоб
  1. Снижение остроты зрения.
  2. Эпизоды судорог в прошлом.
  3. Снижение памяти, отставание в умственном развитии.
  4. Приступы немотивированной агрессии и неадекватного поведения, отмечаемые окружающими пациента людьми.
  5. Слабость рук/ног в молодом возрасте, ограничение объема движений при отсутствии патологии мышечно-суставного аппарата.
Общий осмотр
  1. Дефицит массы тела или нижняя граница нормы ИМТ (индекса массы тела). Для ее определения необходимо возвести рост (в метрах) во вторую степень и разделить массу тела (в кг) на полученное число. Нормальное значение индекса 19-25.
  2. Наличие на коже ангиоматозных явлений – расширений патологически измененных сосудов в виде «винного пятна».
Неврологический осмотр
  1. Наличие слабости в мышцах руки/ноги, не связанной с переутомлением, травмой, инфекциями, какими-либо внешними воздействиями.
  2. Асимметрия рефлексов на руках или ногах.
  3. Уменьшение/выпадение полей зрения.
  4. Возможно снижение чувствительности на нижних/верхних конечностях.
Офтальмоскопия с измерением внутриглазного давления
  1. Обнаружение ангиоматозно-измененных сосудов на глазном дне.
  2. Повышенное внутриглазное давление, свидетельствующее о формировании глаукомы.
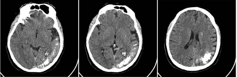
Магнитно-резонансная (МРТ) или компьютерная томография (КТ)
  1. Уменьшение размеров пораженного полушария коры головного мозга.
  2. Обнаружение большого количества кальцинированных включений в ткань мозга – симптом «железнодорожных путей», называемый так из-за параллельного расположения кальцифицированных участков.
  3. Увеличение пространств, по которым течет ликвор, в том числе полостей головного мозга – желудочков.
Электроэнцефалография Возможно обнаружение эпилептоидной электрической активности головного мозга. Однако ее отсутствие не позволяет исключить наличие энцефалотрименального ангиоматоза.

При необходимости вышеуказанный перечень исследований можно дополнить другими диагностическими манипуляциями, такими как ангиография (введение контрастного вещества в сосуды мозга с последующей «съемкой» их с помощью КТ или МРТ), УЗИ и МРТ других внутренних органов при формировании в них патологического процесса. Например, ангиоматоз стромы шейки матки, ангиоматозный эпулис (разрастание капилляров на шейке зуба) и т.д. Данный вариант заболевания называется синдром Клиппеля-Тренона Вебера.

image
Мультиспиральная компьютерная томография

Лечение

На данный момент врожденные ангиоматозы относятся к неизлечимым патологиям. Цель проводимой терапии для таких пациентов – увеличение качества и продолжительности их жизни. Для этого могут использоваться фармакотерапия и хирургические вмешательства, направленные на устранение имеющихся косметических дефектов (ангиоматоза на кожном покрове).

Для борьбы с эпилептическими эпизодами используется группа специальных противосудорожных препаратов. Выбор конкретного лекарственного средства определяется лечащим врачом, в зависимости от варианта эпилептических приступов и наличия/отсутствия индивидуальных противопоказаний.

Наиболее часто используют следующие средства:

  • «Депакин»;
  • «Конвулекс»;
  • «Ламотриджин»;
  • «Карбамазепин»;
  • «Ламиктал»;
  • «Клоназепам».

При отсутствии положительного эффекта от проводимой консервативной терапии рекомендуется проведение радикальной операции по удалению участка очаговой патологической электрической активности – гемисферэктомия (удаление одного полушария мозга).

Помимо снижения частоты судорожных приступов, пациентам с синдромом Штурге-Вебера рекомендуется прием лекарств, уменьшающих вероятность образования тромбов («Аспирин», «Клопидогрель», «Тикагрелор»). Это помогает профилактировать следующие осложнения: инфаркт миокарда, ишемический инсульт, тромбозы крупных артерий рук и ног.

Устранение кожных проявлений болезни лучше всего производить методом селективного фотодермолиза – лазерного воздействия на стенки измененных сосудов, приводящее к их «слипанию» и заращению. Здоровая кожа к нему практически невосприимчива. Поэтому процедура фотодермолиза позволяет лечить ангиомы по типу «винных пятен» любых размеров и достигать хорошего косметического результата при отсутствии болезненных ощущений.

Фотодермолиз

В прошлом для устранения ангиоматозного поражения кожи нередко применяли хирургические операции по пересадке кожи. Однако клинические исследования доказали низкую эффективность лечения из-за высокой вероятности повторного появления «винного пятна». Помимо этого, операция оставляет видимые дефекты на коже, что также стало причиной отказа от данного подхода.

Осложнение и прогноз заболевания

При отсутствии лечения синдрома Штурге-Вебера возможно развитие следующих осложнений:

  1. Ишемический инсульт – при данной патологии усиливается способность крови к образованию тромбов. При закупорке артерий головного мозга происходит нарушение питания нервной ткани и ее постепенное отмирание. Это часто приводит к необратимой утрате некоторых функций пораженного участка, например, потере чувствительности или силы мышц в руке/ноге, нарушениям речи, способности к чтению и т.д. Геморрагический инсульт формируется значительно реже.
  2. Инфаркт миокарда – развивается при закупорке артерий, питающих сердечную мышцу. Отмирание клеток может закончиться разрывом стенки сердца, патологическим расширением желудочка или формированием рубца из соединительнотканных волокон (фиброз стенки).
  3. Тромбоз крупных сосудов. Все ткани снабжаются кровью с питательными веществами и кислородом посредством артерий, артериол и капилляров. Закрытие тромбом крупных артерий может стать причиной нарушения питания тканей с последующим их отмиранием. Также возможна закупорка воротной вены с инфицированием тромба – это смертельно опасное осложнение называется пилефлебит. Нередко оно развивается на фоне сопутствующего цирроза печени – увеличения размеров органа за счет разрастания соединительной ткани, сопровождающееся нарушением нормального кровотока.
  4. Кровотечение – данное осложнение может возникнуть при наличии измененных капилляров во внутренних органах. Патологически измененные сосуды менее устойчивы к перепадам давления и внешним воздействиям. При их разрыве может выделяться в полости вокруг органов значительное количество крови. Наиболее опасно кровотечение из эндометрия, печени и селезенки из-за относительно быстрого развития массивной кровопотери.

При наличии полноценного лечения пациенты с синдромом Штурге-Вебера живут не намного меньше, чем здоровый человек. Однако при этом не существует фармакопрепаратов или других методов лечения, которые бы могли полностью восстановить качество жизни больного. Если же отсутствует адекватная профилактика осложнений и терапия симптомов болезни – прогноз практически всегда неблагоприятный.

Ссылка на основную публикацию
Похожее