Миксома – это первичное доброкачественное новообразование сердца с внутрижелудочковым или внутрипредсердным ростом. На долю миксомы приходится 50% случаев доброкачественных опухолей у взрослых и 15% – у детей, причем в 75% из всех наблюдений опухоль локализуется в левом предсердии. Но сразу стоит отметить, что кроме сердца, миксомы иногда могут возникать на конечностях, в межмышечной клетчатке, в области фасций и апоневрозов, крайне редко – в мочевом пузыре и нервных стволах.
Чаще всего заболеванию подвержены люди в возрасте от 40 до 60 лет, причем женщины болеют чаще.
Миксома представляет собой соединительно-тканную опухоль, которая содержит большое количество слизи, часто покрыта тромбами и с множеством кровоизлияний. Макроскопически (т.е. при невооруженном взгляде) новообразование имеет вид полипоидной опухоли с рыхлой желеобразной консистенцией и гроздьевидной или сосочковой структурой, которая расположена на ножке. В диаметре миксомы могут достигать 15 см и в весе – 250 г, но в большинстве случаев достигают 1-5 см и весят 7-100 грамм.
Причины развития миксомы сердца
Причины и условия возникновения миксомы до конца не установлены.
Примерно в 10% случаев опухоли носят семейный характер, при этом отмечается аутосомно-доминантный тип наследования. Чаще всего при наследственном заболевании миксома входит в состав синдрома Карни – заболевания, которое также характеризуется диффузными пигментными изменениями кожи (веснушками, невусами), гиперплазией коры надпочечников, подкожными нейрофибромами, гемангиомами, опухолями гипофиза с гигантизмом или акромегалией, миксоидной фиброаденомой молочной железы, опухолями яичка.
Большинство миксом носят спорадический (единичный, случайный) характер и не передаются по наследству. Развиваются они, предположительно, из мукоидной эмбриональной ткани. Преимущественная зона локализации – область межпредсердной перегородки, что объясняется ее склонностью к тканевой пролиферации, сохраняющейся после рождения. После удаления такие опухоли практически никогда не рецидивируют.
Кардиология не исключает вероятность развития миксомы вследствие различных травм сердца, чрескожной баллонной дилатации митрального клапана, пластики септальных дефектов, транссептальной пункции и др.
Миксома, как доброкачественная опухоль, вызывает интерес у специалистов в области кардиологии и онкологии. Врачи отмечают, что данное образование чаще всего встречается в предсердиях сердца, особенно в левом. Симптоматика может варьироваться от бессимптомного течения до серьезных осложнений, таких как тромбообразование и обструктивные нарушения. Многие врачи подчеркивают важность ранней диагностики, так как своевременное выявление миксомы позволяет избежать серьезных последствий. В большинстве случаев лечение заключается в хирургическом удалении опухоли, что дает хорошие прогнозы для пациентов. Однако, несмотря на доброкачественный характер, врачи советуют регулярно проходить обследования, чтобы контролировать состояние здоровья и исключить возможность рецидива.

Особенности гемодинамики при миксоме сердца
Стенозирующий эффект новообразования зависит от его размера и локализации. Так, миксома предсердия:
- Правого: обтурирует (блокирует) правое атриовентрикулярное отверстие, чем нарушает венозный отток крови и, тем самым приводит к развитию синдрома верхней полой вены. Симптомы миксомы предсердия появляются, когда опухоль достигает примерно 10-12 см;
- Левого: становится причиной обструкции левого атриовентрикулярного отверстия, из-за чего затрудняет отток крови из лёгочных вен. Симптомы патологии проявляются при достижении новообразования 7 см в диаметре. Эта миксома предсердия – самая распространенная.
Миксома желудочка:
- Правого: стенозирует устье легочного ствола;
- Левого: сужает выносящий тракт левого желудочка.
Симптомы миксомы предсердий схожи с клиникой трикуспидального или митрального стеноза. Опухоли желудочков имитируют клиническое течение стеноза лёгочной артерии или подклапанного стеноза аорты.
Симптомы миксомы сердца
В клинической картине образования и увеличения в размерах миксомы выделяют 3 различных синдрома:
- Системных проявлений;
- Тромбоэмболический;
- Внутрисердечной обструкции.
1. К общим симптомам миксомы можно отнести: повышение температуры тела, общую слабость, похудение. Анализы крови позволяют выявить анемию, ускорение СОЭ, тромбоцитопению, диспротеинемию, повышение уровня иммуноглобулинов, повышенное содержание СРБ (С-реактивного белка). На фоне опухоли часто развиваются синдром Рейно, полиартралгия, сетчатое ливедо.
2. Тромбоэмболический синдром наблюдается у пациентов примерно в 40-50% всех случаев. Обусловлен он закупоркой сосудистого русла тромботическими массами или фрагментами опухоли.
Новообразование, развивающееся в левых отделах сердца, становится причиной поражения артерий большого круга кровообращения: чаще всего это коронарные (инфаркт миокарда) и церебральные (ишемический инсульт) артерии. Эмболия артерий сетчатки провоцирует стойкую или преходящую потерю зрения.
Миксома правых отделов сердца становится причиной тромбоэмболии лёгочной артерии и приводит к формированию хронической лёгочной гипертензии. Тромбоэмболический синдром при миксоме сердца может стать причиной внезапной смерти.
3. Синдром внутрисердечной обструкции сопровождается одышкой, ортопноэ (одышкой в положении лежа, вынуждающей принимать сидячее положение), головокружениями, кратковременными эпизодами потери сознания, тахикардией, кровохарканьем, артериальной или лёгочной венозной гипертензией, периферическими отеками. Появление тех или иных признаков и их выраженность могут изменяться как при смене положения тела, так и при перемещении опухоли.
Миксом — это тема, которая вызывает множество обсуждений в разных кругах. Многие пользователи отмечают его уникальность и разнообразие. Некоторые говорят о том, что Миксом стал настоящим открытием в мире развлечений, предлагая свежий взгляд на привычные вещи. Другие же подчеркивают его доступность и простоту использования, что делает его привлекательным для широкой аудитории.
Однако не обошлось и без критики. Некоторые считают, что Миксом не всегда оправдывает ожидания, и его контент может быть слишком однообразным. Тем не менее, большинство согласны, что он создает пространство для общения и обмена идеями, что особенно важно в современном мире. В конечном итоге, мнения о Миксома варьируются, но одно ясно: он вызывает интерес и обсуждение, что уже является его большим достижением.

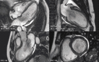
Диагностика миксомы сердца
Решающее значение в ходе диагностики данной патологии отводится такому ультразвуковому диагностическому исследованию сердца, как трансторакальная эхокардиография. Если с ее помощью установить диагноз не удалось, назначают чреспищеводную эхокардиографию.
УЗИ сердца позволяет обнаружить объемное образование в сердце, определить его размеры и локализацию, место прикрепления и подвижность ножки.
Для уточнения данных иногда проводят КТ и МТР сердца, артериографию, вентрикулографию, коронарографию.
При подтверждении диагноза «миксома сердца» требуется ее дифференцирование от комбинированных митральных и трикуспидальных пороков сердца, аномалии Эбштейна, инфекционного эндокардита, коллагеноза, констриктивного перикардита, злокачественных образований.
Лечение миксомы сердца
Лечение миксомы, как и всех доброкачественных образований, подразумевает хирургическое удаление опухоли. Причем операция показана незамедлительно – сразу после установления точного диагноза, что объясняется высоким риском развития тромбоэмболических осложнений и внезапной смерти.
В процессе операции иссекается и сама опухоль, место ее прикрепления и окружающий ножку участок сердца. Довольно часто пациентам в дальнейшем требуется пластика дефекта межпредсердной перегородки.
Лучевое лечение миксомы не эффективно.

Прогноз миксомы сердца
С момента появления первых симптомов миксомы продолжительность жизни человека не превышает двух лет (при естественном течении заболевания). Риск внезапной смерти составляет примерно 30%, при этом смертность связана преимущественно с окклюзией клапанных отверстий сердца или тромбоэмболией.
Практически у всех пациентов после лечения миксомы наступает полное выздоровление. Рецидивы возникают: при изолированной опухоли – в 2% случаев, при наследственных синдромах – в 12-22%.
В случае с солитарными миксомами рецидивы обычно являются следствием неполного иссечения опухоли или места ее прикрепления.
Вопрос-ответ
Сколько живут с миксомой сердца?
Без хирургической операции при наличии симптомов пациент может погибнуть в течение одного или двух лет, а внезапная смерть наступает у 30% больных. Поэтому важно проводить лечение в максимальные короткие сроки после установления диагноза. После операции по удалению миксомы только 80% пациентов полностью выздоравливают.
Чем опасна миксома сердца?
Миксомы опасны тем, что могут привести к эмболии опухоли или ее фрагментов, вызывая острые нарушения мозгового кровообращения (инсульты), инфаркты внутренних органов, ишемию конечностей.
Как проходит операция по удалению миксомы сердца?
Хирургическая процедура. Кровь из тела перенаправляется в аппарат, насыщается кислородом и возвращается обратно. Это временно заменяет функцию сердца и лёгких. Затем сердце останавливают, и опухоль (миксома) удаляется путем открытия левого или правого предсердия.
Как быстро растет миксома?
В большинстве наблюдений миксомы растут достаточно медленно, а клиническая картина, характерная для митрального стеноза, как правило, проявляется только при достижении опухолью больших размеров или развитии осложнений (полная блокировка митрального отверстия, материальные эмболии).
Советы
СОВЕТ №1
Обратите внимание на симптомы. Миксома может проявляться различными симптомами, такими как одышка, усталость, боли в груди или аритмия. Если вы заметили у себя или близких подобные признаки, не откладывайте визит к врачу.
СОВЕТ №2
Регулярно проходите медицинские обследования. Особенно важно следить за состоянием сердца, если у вас есть предрасположенность к сердечно-сосудистым заболеваниям. Регулярные УЗИ сердца помогут выявить миксому на ранней стадии.
СОВЕТ №3
Обсудите с врачом возможные методы лечения. В зависимости от размера и расположения миксомы, могут быть предложены различные варианты лечения, включая хирургическое вмешательство. Не стесняйтесь задавать вопросы и уточнять все детали.
СОВЕТ №4
Поддерживайте здоровый образ жизни. Правильное питание, регулярные физические нагрузки и отказ от вредных привычек помогут укрепить сердечно-сосудистую систему и снизить риск развития осложнений, связанных с миксомой.