Митральный стеноз или стеноз митрального клапана представляет собой приобретенный порок сердца, связанный с сужением левого атриовентрикулярного устья, что приводит к затруднению тока крови в левый желудочек.
К симптомам митрального стеноза относятся: повышенная утомляемость, одышка, перебои в работе сердца, дискомфорт в грудной клетке, кашель с кровохарканьем.
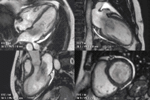
Диагностика митрального стеноза основывается на данных рентгенографии, электрокардиографии, эхокардиографии, катетеризации камер сердца.
В лечении митрального стеноза используется митральная комиссуротомия или баллонная вальвулопластика.
Причины митрального стеноза
В большинстве случаев (около 80%) причиной данного заболевания выступает перенесенный ранее ревматизм. Кроме того, данное заболевание может быть обусловлено травмами сердца, инфекционным эндокардитом, сифилисом, атеросклерозом.
Этот вид порока сердца чаще всего встречается у женщин и развивается обычно в молодом возрасте.
В редких случаях заболевание бывает связано с тяжелым кальцинозом створок и кольца митрального клапана, внутрисердечными тромбами, врожденными пороками сердца, миксомой левого предсердия.
Развитие стеноза митрального клапана может также обусловливаться протезированием или комиссуротомией митрального клапана. Аортальная недостаточность также может сопровождаться митральным стенозом.
При митральном стенозе происходит нарушение в работе клапана, который располагается между левым желудочком и предсердием. Из левого предсердия артериальная кровь через митральный клапан попадает в желудочек. При данном заболевании происходит утолщение створок клапана, и размер митрального отверстия уменьшается. В результате кровь во время диастолы не успевает откачиваться из левого предсердия и давление в нем возрастает. Следствием этого является включение вспомогательных компенсаторных механизмов, которые способствуют обеспечению нормального кровенаполнения левого желудочка.
Врачи отмечают, что митральный стеноз является серьезным заболеванием, которое требует внимательного подхода к диагностике и лечению. Это состояние, характеризующееся сужением митрального клапана, может привести к затруднению кровотока из левого предсердия в левый желудочек, что, в свою очередь, вызывает различные симптомы, такие как одышка, усталость и отеки. Специалисты подчеркивают важность раннего выявления болезни, так как на начальных стадиях она может протекать бессимптомно. Лечение митрального стеноза может варьироваться от медикаментозной терапии до хирургического вмешательства, в зависимости от степени тяжести состояния. Врачи рекомендуют регулярные обследования для пациентов с факторами риска, чтобы своевременно предотвратить осложнения и улучшить качество жизни.

Классификация и симптомы митрального стеноза
Первые симптомы митрального стеноза, как правило, возникают через 20 лет после первой ревматической атаки. С возникновения одышки в состоянии покоя до летального исхода проходит от 2 до 5 лет.
При наличии легкого стеноза больные не предъявляют никаких жалоб, но при эмоциональных и физических нагрузках, лихорадке, половом акте, пароксизмальных тахикардиях, тяжелой анемии, тиреотоксикозе, беременности происходит резкое увеличение ДЗЛА, которое вызывает одышку и кашель. При тяжелом стенозе резкое увеличение кровотока ведет к развитию отека легких.
Критическим моментом в течении болезни является появление постоянной мерцательной аритмии. После этого болезнь начинает развиваться намного интенсивнее.
При разрыве легочных вен у больного возникает кровохарканье.
По мере развития заболевания симптомы застоя в легких уменьшаются, кровохарканье и отек легких протекают легче. Но возникают: тяжесть в животе, слабость, отеки, гидроторакс, асцит.
Часто симптомом митрального стеноза выступают крупозная пневмония, бронхит, бронхопневмония. В 10% случаев наблюдается боль в груди, развивается легочная гипертензия, склероз, утолщение альвеолярных перегородок и капилляров.
В левом предсердии могут возникать тромбы, что ведет к тромбоэмболии артерий головного мозга, селезенки, почек, конечностей.
Выделяют пять стадий (степеней) митрального стеноза (классификация предложена Е.А. Дамир и А.Н. Бакулевым):
- Полная компенсация кровообращения. Пациент не предъявляет жалоб, но при обследовании обнаруживаются типичные для митрального стеноза признаки. Размер левого предсердия составляет не более 4 см, площадь митрального отверстия 3-4 кв. см;
- Относительная недостаточность кровообращения. При данной степени митрального стеноза пациент испытывает одышку при физических нагрузках, обнаруживаются признаки гипертензии малого круга кровообращения, венозное давление немного повышено, но выраженных признаков недостаточности кровообращения не обнаруживается. Площадь митрального отверстия – примерно 2 кв. см. Размер предсердия 4-5 см;
- Начальная стадия недостаточности кровообращения. Эта степень митрального стеноза характеризуется явлениями застоя в большом и малом кругах кровообращения. Размеры сердца увеличены. Значительно повышено венозное давление. Печень увеличена. Площадь митрального отверстия – 1-1,5 кв. см. Размер предсердия – 5 и более сантиметров;
- Резко выраженная недостаточность кровообращения. Сердце и печень сильно увеличены. Отмечается высокое венозное давление. Наблюдаются периферические отеки и асцит. Митральное отверстие – менее 1 кв. см, предсердие – более 5 см;
- Терминальная дистрофическая стадия недостаточности кровообращения. Сердце и печень значительно увеличены в размерах, наблюдается резкое повышение венозного давления, асцит, сильные периферические отеки, одышка в состоянии покоя. Площадь митрального отверстия < 1 кв. см, предсердие > 5 см.
Диагностика митрального стеноза
Для диагностики митрального стеноза выполняются следующие исследования:
- Пальпация надсердечной области. Обнаруживается пресистолическое дрожанье, «митральный щелчок», диастолический шум;
- Фонокардиография. Проводится для соотнесения выслушиваемых шумов с фазой сердечного цикла;
- Электрокардиография. Выявляется гипертрофия правого желудочка и левого предсердия, нарушения сердечного ритма;
- Эхокардиография. Обнаруживает уплотнение стенок митрального клапана и уменьшение площади митрального отверстия;
- Рентгенография грудной клетки и сердца. Определяется выбухание дуги легочной артерии, правого желудочка и левого предсердия, усиление легочного рисунка и другие признаки;
- Зондирование полостей сердца. Проводится для исключения кальциноза и вегетаций клапана, наличия тромбов.
Митральный стеноз — это заболевание, которое вызывает много обсуждений среди пациентов и врачей. Люди часто делятся своими переживаниями о симптомах, таких как одышка, усталость и сердечные перебои. Многие отмечают, что с течением времени симптомы становятся более выраженными, что заставляет их искать медицинскую помощь. В социальных сетях можно встретить истории о том, как пациенты справляются с диагнозом, делятся опытом лечения и реабилитации. Некоторые упоминают о важности регулярных обследований и контроля состояния, чтобы избежать осложнений. Врачебные рекомендации также играют ключевую роль: многие пациенты отмечают, что следование предписаниям кардиолога значительно улучшает качество жизни. Обсуждения на форумах помогают людям не чувствовать себя одинокими в своей борьбе и находить поддержку среди тех, кто сталкивается с аналогичными проблемами.

Лечение митрального стеноза
В лечении митрального стеноза применяются консервативные и хирургические методы.
Медикаментозная терапия проводится для предупреждения инфекционного эндокардита, купирования аритмий, уменьшения проявлений сердечной недостаточности.
Хирургическое вмешательство показано для лечения митрального стеноза 2, 3, 4 степени. Если отсутствует деформация створок, нет обызвествления и поражения папиллярных хорд и мышц, то используют баллонную вальвулопластику. Остальные случаи требуют проведения открытой или закрытой комиссуротомии, которая заключается в рассечении спаек и освобождении створок митрального клапана от кальцификатов, удалении тромбов из левого предсердия, выполнении аннулопластики при наличии митральной недостаточности.
При грубой деформации клапанного аппарата показано протезирование митрального клапана.
Таким образом, стеноз митрального клапана представляет собой серьезное заболевание, которое склонно к прогрессированию из-за рецидивов ревматизма. Большая часть больных умирает от сердечной недостаточности и других осложнений.
Вопрос-ответ

Как проявляется митральный стеноз?
Одышка в сочетании с отёками и кашлем с розоватой или «ржавой» мокротой — это повод обратиться к кардиологу и пройти обследование. Такие симптомы могут указывать на митральный стеноз — нарушение работы сердца, которое без лечения может привести к опасным для жизни осложнениям.
Что такое митральный стеноз?
Стено́з отверстия митра́льного кла́пана (лат. Stenosis ostii atrioventricularis sinistri), известный также как митральный стеноз или сужение левого атриовентрикулярного отверстия — часто встречающийся приобретённый порок сердца.
Что наблюдается при митральном стенозе?
При митральном стенозе створки клапана становятся утолщенными, снижается их гибкость и подвижность. Митральный клапан открывается, пропуская кровь из левого предсердия в левый желудочек, и закрывается при сокращении левого желудочка, выталкивающего кровь в аорту.
Сколько живут с митральным стенозом?
С момента появления симптомов до развития тяжелой инвалидности пациента обычно проходит 7–9 лет. Без хирургического лечения дети с врожденным митральным стенозом часто живут не более 2 лет.
Советы
СОВЕТ №1
Регулярно проходите медицинские обследования. Если у вас есть факторы риска или симптомы, связанные с митральным стенозом, такие как одышка или усталость, важно своевременно обратиться к врачу для диагностики и контроля состояния.
СОВЕТ №2
Следите за своим образом жизни. Здоровое питание, регулярные физические нагрузки и отказ от курения могут помочь снизить риск сердечно-сосудистых заболеваний и улучшить общее состояние здоровья.
СОВЕТ №3
Обсудите с врачом возможные варианты лечения. В зависимости от степени стеноза и ваших симптомов, могут быть предложены различные методы, включая медикаментозную терапию или хирургическое вмешательство. Важно понимать все доступные варианты и их последствия.
СОВЕТ №4
Обучитесь управлению стрессом. Психоэмоциональное состояние может оказывать влияние на здоровье сердца. Практики, такие как медитация, йога или дыхательные упражнения, могут помочь снизить уровень стресса и улучшить общее самочувствие.